Utjecajem zapada, lijep osmijeh i bijeli zubi postali su zaštitni znak glamoura i osoba koje drže do svog zdravlja i izgleda. Izbjeljivanje zubi i ljuskice zaštitni su znak Hollywoodskog osmijeha. Izbjeljivanje nije štetno za zube i ne oštećuju caklinu. Moguća je lagana preosjetljivost zubi, koja nestaje dan ili dva nakon tretmana.
Neposredno prije postupka izbjeljivanja zube je potrebno temeljito očistiti od tvrdih i mekih naslaga i ispolirati. Nakon toga nanosi se zaštitni sloj na gingivu (zubno meso) te potom gel za izbjeljivanje na zube. Kisik iz aktivne tvari prodire u zubne strukture i oksidira pigmente pa time zubi postaju svjetliji i do nekoliko nijansi.
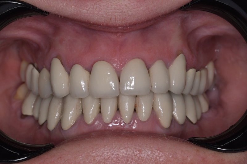
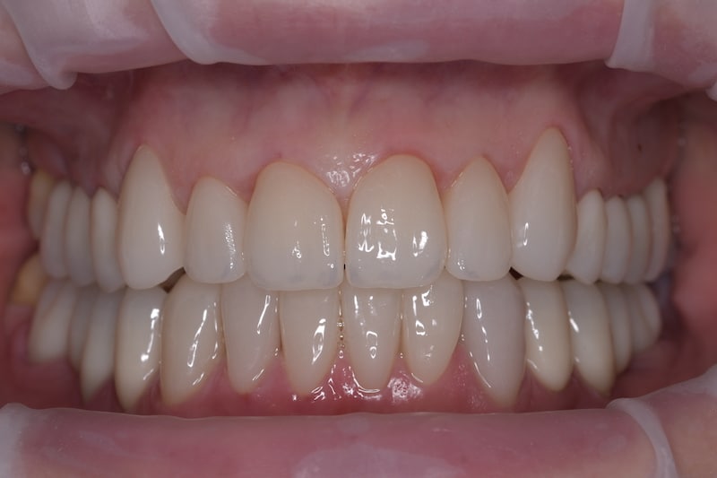
Za izbjeljivanje zubi dovoljan je jedan posjet stomatologu, nakon čega se postiže optimalan učinak. Rezultat se vidi odmah, neposredno nakon tretmana, no krajnji efekt vidljiv je u prosjeku dva tjedna kasnije, kad se boja stabilizira i dovrši rehidracija zuba. Ukoliko niste zadovoljni svojim osmijehom tu je DSD ili digital smile design kojim je moguće Vaše želje u okvirima naših mogućnosti napraviti „Hollywood smile“ ljuskicama, minimalno invanzivnim preparacijama zuba. Marković Dental Clinic uvijek na prvom mjestu ima zdravlje zubi i zadovoljstvo svakog pacijenta.



