Endodoncija odnosno liječenje kanala korijena zuba treba spriječiti širenje upale u kost oko vrška korijena zuba. Ukoliko je karijes uzrokovao toliku destrukciju cakline i dentina u zubu dolazi do upale pulpe inače u narodu poznatije kao „zubni živac“, potrebno je provesti endodontsko liječenje koje se sastoji od širenja kanala, dezinfekcije kanala i na kraju punjenju kanala biokompatibilnim materijalima.
Nažalost , često endodontsko liječenje nije učinjeno ili nije adekvatno učinjeno, te dolazi do upale oko vrška korijena zuba te svaki daljnji postupak oko takvog zuba je beskoristan. Tada je potrebno napraviti reviziju punjenja, te endodontsko liječenje adekvatno obaviti.
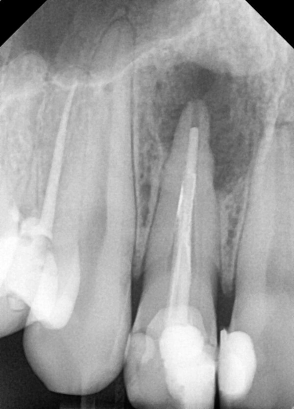
Marković Dental Clinic uglavnom radi jednoposjetnu strojnu endodonciju uz „apex lokator“uređaj kojim mjerimo točnu dužinu korijenskog kanala, takav pristup omogućuje najbolje rezultate i skraćuje vrijeme trajanja zahvata, dezinfekciju po najmodernijim protokolima, te punjenje biokompatibilnim materijalima uz obaveznu kontrolu punjenja rendgentskom slikom (RVG 2D).

